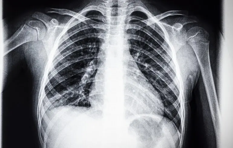
Національне наукове агентство Австралії CSIRO першим у світі розробило програму машинного навчання, щоб спеціалізувати штучний інтелект на читанні рентгену грудної клітини. Натренований у такий спосіб ШІ виявився дуже корисним при діагностиці, повідомляє Medical Xpress.
Для спеціалізації ШІ на читанні рентгенів медичні інженери CSIRO створили базу даних із 46 000 анамнезів реальних пацієнтів, наданих лікарнями США. Також у велику мовну модель завантажили інформацію про всі існуючі стандарти та вимоги до читання радіологічних звітів.
Перевірка на практиці показала, що штучний інтелект на 17% краще ставить діагнози пацієнтам, ніж це робили професійні рентгенологи. Професія зараз переживає у всьому світі нестачу кадрів, тож технологія може вирішити цю проблему і допомогти покращити роботу багатьом медичним закладам.
Це не вперше ШІ використовують для читання рентгенівських знімків. Але австралійська програма дає можливість навчити штучний інтелект повноцінно використовувати анамнез пацієнтів, а не лише плівку.
Проєкт очолив доктор Аарон Ніколсон. Коментуючи поєднання анамнезу і знімків, він зазначив:
“Штучний інтелект функціонує як діагностичний детектив, а ми оснащуємо його додатковими доказами. Коли ви поєднуєте те, що видно на рентгенівському знімку, з даним про пацієнта, штучний інтелект стає точнішим і набагато кориснішим.
Швидкість і точність діагностики — це одна із найважливіших переваг ШІ для практичної медицини. Лікарям допомагає також здатність штучного інтелекту швидко обробляти великі масиви даних. Окрім рентгенів, великі мовні моделі використовуються для читання МРТ. Машинний аналіз дозволяє виключити людський фактор, тож на результат не впливає втома чи заклопотаність медика. Таким чином у діагностичні звіти потрапляють деталі, які могла б пропустити людина-лікар. Більше про потенціал і загрози використання ШІ в охороні здоров'я читайте у статті “Штучний інтелект у медицині: чого більше — ризиків чи користі?” авторства Сергія Козьякова.
