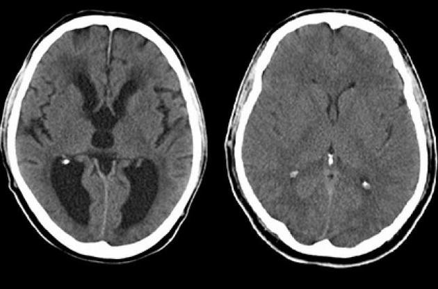
Американські дослідники виявили причину розвитку гідроцефалії – захворювання, при якому голова новонароджених збільшується через скупчення рідини в мозку. Про висновки вчених повідомляє EurekAlert!.
За словами дослідників, причиною розвитку захворювання є ген nexin 27, що кодує білок SNX27, низька концентрація якого в мозку людини також спостерігається при синдромі Дауна.
SNX27 відповідає за транспорт різних білків у цитоплазмі або через мембрану клітин. Придушення білка у мишей призводить до того, що у тварин виникають проблеми з пам'яттю і навчанням, які спостерігаються у людей з синдромом Дауна. Тепер же дослідники вирішили виявити роль білка в розвитку гідроцефалії.
Вчені з'ясували, що відсутність SNX27 також веде до розвитку гідроцефалії у гризунів. Подальші обстеження показали відсутність епендимальных клітин, що вистилають внутрішню поверхню шлуночків головного мозку. Такі клітини забезпечують нормальну циркуляцію цереброспінальної рідини. Було встановлено, що у відсутність SNX27 мозковий стовбур виробляє надмірну кількість білка Notch, а він перешкоджає дозріванню епендимальных клітин.
Дослідники також з'ясували, що нормальний тік рідини в головному мозку перешкоджає розвитку хвороби Альцгеймера, оскільки виводить токсичні молекули – бета-амилоїди.
Раніше повідомлялося про те, що вчені виявили в мозку людини два кластера генів, які відповідають за розвиток інтелекту. В ході досліджень вчені встановили, що ці ж гени в зміненому стані можуть призвести до епілепсії та когнітивного дисбалансу.
