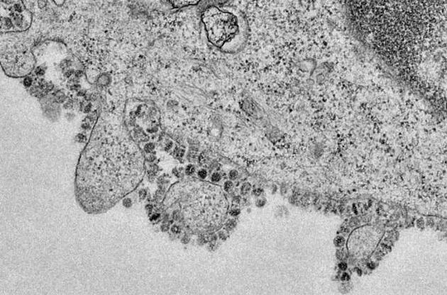
Група вчених під керівництвом Чжен-Лі Ши з Уханьского інституту вірусології визначили механізм, за допомогою якого новий коронавірус проникає в клітину. Їхні лабораторні експерименти підтвердили, що новий вірус використовує той же ключ, що і атипова пневмонія, повідомляє Naked science.
Вчені розшифрували геном вірусу ще місяць тому. Моделювання, яке провели дослідники, показало, що глікопротеїн (S-білок) на поверхні 2019-nCoV схожий на аналогічний білок спорідненого SARS. За допомогою цієї молекули SARS зв'язується з рецепторами ангіозинперетворючого ферменту 2 (Angiotensin-Converting Enzyme 2, ACE2), який бере участь у регуляції кровообігу. Цей зв'язок і є "воротами" для проникнення вірусу в клітину.
Тепер же вчені підтвердили цю гіпотезу в ході лабораторних досліджень. За допомогою зразків, які були зібрані в одного з пацієнтів в грудні, вчені заразили клітинні культури. Виявилося, що вірус може проникати тільки в ті клітини, на поверхні яких є рецептори АСЕ2.
Крім того, вірус інфікував навіть модифіковані клітини людей з АСЕ2-рецепторами кажанів, цивет і свиней - тварин, від яких людям вже передавалися коронавіруси. Вчені вважають, що нинішня епідемія стартувала саме з кажанів.
Разом з тим S-білок вірусу відрізняється від SARS. Можливо, він здатний зв'язуватися і з сіаловою кислотою, яка є "воротами" для інших інфекцій, включаючи грип. 2019-nCoV може поширюватися і безсимптомно, а АСЕ2 представлений на поверхні клітин, які знаходяться досить глибоко в легких, тому малоймовірно, щоб хвороба, що дісталася туди, залишилася безсимптомною і могла поширюватися.
А ось сіалову кислоту можна знайти у верхніх дихальних шляхах, завдяки чому вірус здатний поширюватися, ще не викликавши помітних проявів хвороби. Можливо, саме невеликі відмінності S-білка нового коронавіруса забезпечують йому таку можливість, роблячи інфекцію особливо небезпечною.
Підписуйтесь на наш Telegram-канал з новинами технологій та культури.
Станом на 4 лютого підтверджені 20 438 випадків захворювання у 31 провінції, муніципалітетах і автономних районах Китаю, померли 425 людей. Різке зростання кількості жертв коронавірусу розпочалося у п'ятницю, 31 січня – відтоді померли майже 100 хворих, перша смерть від коронавірусу зафіксована за межами Китаю.
За межами Китаю потенційно смертельний вірус діагностований у 120 людей. В Україні жодного випадку захворювання поки що не зафіксовано. Дві групи українських вчених працюють над розробкою тест-систем, що дозволять швидко виявляти збудника у слині людини.
Всесвітня організація охорони здоров'я оголосила спалах коронавірусу 2019-nCoV "надзвичайною ситуацією в області суспільної охорони здоров'я, що має міжнародне значення". У ВООЗ побоюються, що вірус потрапить на територію країн зі слабкою системою охорони здоров'я.
Вперше цей коронавірус діагностували у грудні минулого року. Новий коронавірус став сьомим вірусом такого типу, якими може заразитися людина.
Влада КНР запровадила жорсткий карантин в Ухані та інших містах, де зафіксовано спалах захворювання. Вильоти туристичних груп з Китаю припинені.
Докладніше про коронавірус читайте в матеріалі Лідії Суржик "Академік Володимир Широбоков: "Мікроби не прощають легковажності".
