UA / RU
Підтримати ZN.ua

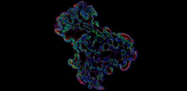
Вчені за допомогою штучних міні-органів показали, як коронавірус вражає легені

Крихітні легені виростили в лабораторії зі стовбурових клітин.

Міні-легені показали, як проходить зараження коронавірусом

Міні-легені показали, як проходить зараження коронавірусом

Дві групи вчених, з США і Великої Британії, змогли продемонструвати, як новий коронавірус вражає легені. Вивчення інфекційного процесу проводили завдяки комбінації флуоресцентної мікроскопії та генетичного аналізу окремих клітин, повідомляє Naked science.

Дослідники виростили в лабораторії крихітні легені, які і допомогли їм простежити за процесом зараження. Головна перевага таких штучних органів полягає в тому, що вони дозволяють демонструвати процеси, які відбуваються в альвеолах - бульбашкових структурах в легенях, в яких відбувається потрапляння кисню в легеневі капіляри.

Саме альвеоли вірус вражає найбільше. Але створені легені дозволяють вивчити не тільки SARS-CoV-2, а й будь-який респіраторний вірус.

Вчені заразили модельні органи коронавірусом; вивчення інфекційного процесу проводили завдяки комбінації флуоресцентної мікроскопії та генетичного аналізу окремих клітин. Всього через шість годин після зараження SARS-CoV-2 пройшов всі клітинні стадії вірусної інфекції і почав продукувати нові вірусні частинки.

Приблизно в той же час почалася вироблення інтерферонів - сигнальних білків, які «попереджають» сусідні клітини про інфекцію та активують їхні захисні функції. Опосередкована інтерферонами вроджена імунна відповідь - «перша лінія противірусної оборони» - була запущена протягом 48 годин з моменту зараження. А через 60 годин після введення вірусу частина альвеолярних клітин почала гинути і розпадатися, що призвело до серйозного пошкодження тканини міні-легень.

Вчені також побачили цитокіновий шторм - реакцію імунної системи на вірус, яка характеризується підвищеною активністю імунних клітин і бурхливим виділенням різних цитокінів та біохімічних медіаторів. «Вважалося, що цитокіновий шторм відбувається через приплив імунних клітин [в осередок інфекції], але ми бачимо, що це [бурхливе виділення біохімічних медіаторів] також відбувається в самих клітинах легенів», - каже Пурушотхама Рао Тата, співробітник Університету Дьюка.

Дослідники спостерігали за зараженням легень протягом трьох днів, але симптоми COVID-19 рідко спостерігаються так швидко. Вчені вважають, що це може бути пов'язано з тим, що вірусні частинки довго «подорожують» до альвеол.

Підписуйтесь на наш Telegram-канал з новинами технологій і культури.

Читайте також: В Іспанії відкорегували статистику поширення коронавірусу: вже понад 3 мільйони

Генеральний секретар ООН Антоніу Гутерреш, виступаючи на пресконференції 17 вересня, заявив, що ситуація з поширенням коронавірусу вийшла з-під контролю і набуває катастрофічних масштабів.

Вперше спалах коронавірусу у китайському місті Ухань був зафіксований 12 грудня. Вчені повідомили, що джерело захворювання знаходився на місцевому ринку морепродуктів. Першими про випадки захворювання за межами Китаю заявили влади Японії, Таїланду та Південної Кореї.

30 січня Всесвітня організація охорони здоров'я оголосила міжнародну надзвичайну ситуацію через коронавірус, а вже 11 березня - пандемію.