Міжнародна група вчених заявила про те, що відома вже більше століття особливість ракових клітин виявилася потенційною мішенню для лікування онкозахворювань. Для того, щоб з'ясувати це, вчені з чотирьох лабораторій по всьому світу виростили тисячі людських клітин і піддали їх дії сотень різних медикаментів, повідомляє Naked science.
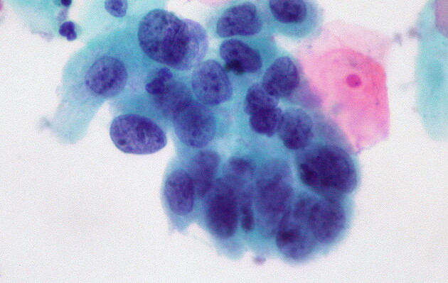
У багатьох випадках ракові клітини відрізняються від здорових набором хромосом - це явище називається анеуплоїдією. Вона зустрічається в 90% пухлин і в 75% онкологічних захворювань крові. У нормі людини їх 46, вони зібрані в 23 пари, але коли клітини організму перетворюються на ракові, в них кількість структур, які зберігають спадкову інформацію, може змінюватися.
У ході нового дослідження вчені виростили близько тисячі різних культур ракових клітин, які були взяті з тканин пацієнтів з усього світу. Потім культури були класифіковані за ступенем анеуплодії.
Виявилося, що у ракових клітин є важлива особливість, яка відрізняє їх від здорових. Вони діляться безконтрольно і роблять це набагато частіше, але і є більш чутливими до порушень одного з етапів цього процесу. А саме, до проблем, які виникають під час так званої контрольної точки клітинного циклу між метафазою і анафазою мітозу (spindle assembly checkpoint, SAC). Нормальні клітини здатні до певної міри усувати помилки, що з'являються в ході SAC. Ракові з високим ступенем анеуплоїдії - припиняють поділ, навіть коли кількість проблем мінімальна.
Свою гіпотезу вчені перевірили, піддавши ракові клітини впливу різних препаратів. Медикаменти, які зачіпали процеси, що відбуваються в контрольній точці, в ряді випадків придушували поділ злоякісних клітин. Надалі вчені хочуть перейти до дослідів на тваринах, що дозволить перевірити, як можна атакувати цю «ахіллесову п'яту» в тканинах.
Підписуйтесь на наш Telegram-канал з новинами технологій і культури.
Раніше шведські вчені виявили ще одну функцію тромбоцитів, яка проявляється при розвитку онкологічних процесів. Виявилося, що ці елементи крові можуть перешкоджати поширенню пухлин в організмі.
