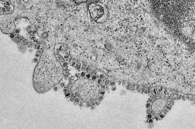
Вчені з Університету Гонконгу опублікували знімки, які демонструють розмноження нового коронавіруса всередині клітини. Як повідомляє Bloomberg, знімки були отримані за допомогою електронного мікроскопа.
Дослідники вивчили частину інфікованої клітини, вирощеної в культурі, з вірусними частинками, які вивільняються з її поверхні. Вчені відзначають, що в кожній інфікованій клітині можуть з'явитися тисячі нових носіїв коронавіруса, які потім вражають здорові клітини.
Підписуйтесь на наш Telegram-канал з новинами технологій та культури.
Від вірусної інфекції, викликаної коронавірусом 2019-nCoV, станом на 1 лютого померли 259 осіб. Число хворих перевищило 11 тисяч осіб.
Всесвітня організація охорони здоров'я оголосила спалах коронавірусу 2019nCoV "надзвичайною ситуацією в області суспільної охорони здоров'я, що має міжнародне значення". Таке рішення ухвалили незалежні експерти ВООЗ на екстреній нараді 30 січня.
Вперше цей коронавірус був діагностований у грудні минулого року. Новий коронавірус став сьомим вірусом такого типу, яким може заразитися людина.
Влада КНР запровадила жорсткий карантин в Ухані та інших містах, де зафіксовано спалах захворювання. Вильоти туристичних груп з Китаю припинено.
Детальніше про коронавірус читайте в матеріалі Лідії Суржик "Академік Володимир Широбоков: "Мікроби не прощають легковажності".
