Медики описали новий незвичайний випадок. Жінка звернулася до відділення швидкої допомоги з сильним болем у животі. Дослідження показали, що причина цього криється в тому, що її селезінка знаходиться не на місці, а зміщена приблизно на 30 сантиметрів, повідомляє Live science.
Цей стан відомий як «блукаюча селезінка». Він виникає тоді, коли зв'язки, які утримують селезінку, розхитуються і розтягуються. Стандартне розташування цього органу - вище шлунка, в лівій верхній частині живота.
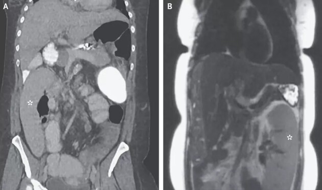
Але у 36-річної жінки, яка звернулася за допомогою, медики знайшли селезінку в правому нижньому кутку живота. Цікаво, що всього за два дні до звернення до відділення швидкої, жінка проходила дослідження на рак печінки. Тоді медики зробили знімок її живота, але не виявили жодних відхилень. Але вже через день жінка почала відчувати біль і блювоту.
У відділенні швидкої лікарі знову зробили знімки живота пацієнтки і з'ясували, що її селезінка змістилася в протилежну сторону. Біохімічний аналіз показав підвищений рівень ферменту підшлункової залози ліпази (більш ніж в 10 разів).
Блукаюча селезінка може блокувати артерії і, тим самим, викликати сильні болі і набряк в животі. Захворювання також часто супроводжується запорами, блювотою і затримкою сечовипускання.
Підписуйтесь на наш Telegram-канал з новинами технологій і культури.
Раніше медики з Денвера описали унікальний випадок алергії на холод. Чоловік прийняв гарячий душ, вийшов в трохи більш прохолодну кімнату і мало не помер.
