UA / RU
Поддержать ZN.ua

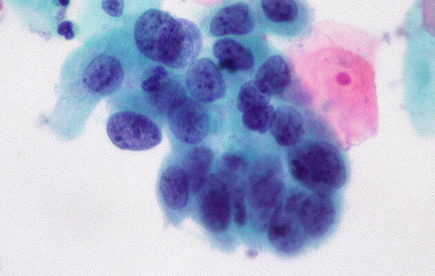
Ученые связали световое загрязнение с риском развития рака щитовидной железы

Риск развития рака повышается на 55%.

Световое загрязнение приводит к появлению рака щитовидной железы

Световое загрязнение приводит к появлению рака щитовидной железы

Команда ученых под руководством Цянь Сяо из Научного центра здравоохранения Университета Техаса заявила о том, что световое загрязнение повышает риск развития рака щитовидной железы. Ранее исследователям удалось установить связь между высоким уровнем ночного освещения и раком молочной железы, сообщает «Популярная механика».

Ученые проанализировали данные масштабного исследования NIH-AARP Diet and Health Study, в котором приняли участие взрослые США в возрасте от 50 до 71 года. Исследователи также проанализировали данные спутниковых снимков, чтобы оценить уровень освещенности в ночное время по адресам проживания участников. Кроме того, они проанализировали базы данных государственного регистра рака для выявления диагнозов рака щитовидной железы до 2011 года.

Среди 464371 участника, которые наблюдались в среднем в течение 12,8 лет в рамках изучаемого исследования, было диагностировано 856 случаев рака щитовидной железы. Авторы работы отмечают, что по сравнению с самым низким уровнем световой загрязненности, высокий уровень был связан с более высоким риском развития рака щитовидной железы на 55%.

Ученые отмечают, что необходимо провести дополнительные исследования, чтобы понять механизмы этой связи. Вероятно, причиной такого эффекта является подавление мелатонина светом в ночное время, это модулятор эстрогенной активности, который оказывает противоопухолевое действие. Кроме того, свет в ночное время может привести к нарушению циркадных ритмов, что является фактором риска развития различных видов рака.

Подписывайтесь на наш Telegram-канал с новостями технологий и культуры.

Читайте также: Обнаружена самая древняя опухоль четвероногих

Ранее шведские ученые обнаружили еще одну функцию тромбоцитов, которая проявляется при развитии онкологических процессов.  Оказалось, что эти элементы крови могут препятствовать распространению опухолей в организме.