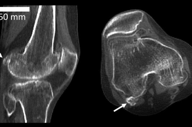
Ученые из Имперского колледжа Лондона заявили о том, что фабелла – кость, связанная с проблемами колена и болью, погребенная в сухожилиях с задней стороны и редко встречающаяся у людей – начала наблюдаться в три раза чаще. Как сообщает Naked science, ученые изучили данные исследований, связанных с коленными суставами, за последние 150 лет.
Исследователи изучили 21 676 случаев отдельных коленей у жителей 27 стран. Самые ранние записи относились в 1875 году, тогда фабелла встречалась у 17,9% населения. Исходя из этого, исследователи создали статистическую модель, которая предсказывала уровень распространенности при контроле страны исследования и метода сбора данных, таких как рентген, анатомическое вскрытие и МРТ-сканирование. Их анализ показал, что в 1918 году фабеллы присутствовали у 11,2% населения мира, а к 2018-му - у 39%, то есть их распространение увеличилось в 3,5 раза. Ученые не могут однозначно ответить на вопрос о функции этой кости, так как прежде ее никто не изучал.
По словам ученых, фабелла может уменьшать трение в сухожилиях, перенаправив мышечные силы, или, как в случае с коленной чашечкой, увеличить механическую силу мышцы. Вместе с тем, у наличия фабеллы есть и недостатки: люди, страдающие от остеоартрита коленного сустава обладают в вдвое большей вероятностью иметь фабеллу, чем люди без заболевания. Кроме того, эта кость может вызвать боль и дискомфорт, а также мешать операциям по замене коленного сустава.
"Нас учат, что человеческий скелет содержит 206 костей, но наше исследование ставит это под сомнение. Фабелла - кость, которая не имеет видимой функции и вызывает у некоторых боль и дискомфорт, также может потребовать удаления, если она вызывает проблемы. Возможно, скоро фабелла будет известна как "аппендицит скелета". По мере того как мы эволюционировали, мы, похоже, утратили потребность в фабелле. Теперь она просто вызывает проблемы. Интересный вопрос в том, почему она проявляется вновь именно сейчас", - заявил ведущий автор исследования Майкл Бертом.
Ранее ученые установили, что гены неандертальцев вызывают депрессии, никотиновую зависимость и заболевания кожи у современных людей.
