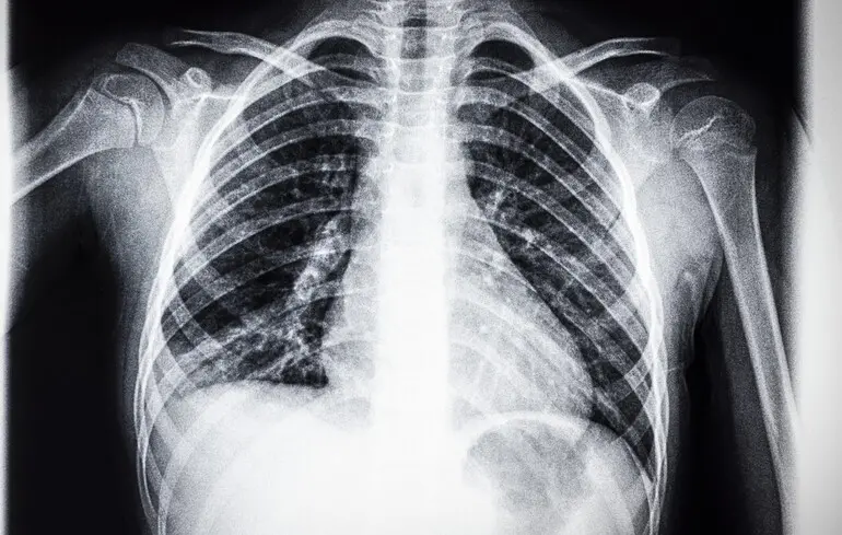
Национальное научное агентство Австралии CSIRO первым в мире разработало программу машинного обучения, чтобы специализировать искусственный интеллект на чтении рентгена грудной клетки. Натренированный таким образом ИИ оказался очень полезным при диагностике, сообщает Medical Xpress.
Для специализации ИИ на чтении рентгенов медицинские инженеры CSIRO создали базу данных из 46 000 анамнезов реальных пациентов, предоставленных больницами США. Также в большую языковую модель загрузили информацию обо всех существующих стандартах и требованиях к чтению радиологических отчетов.
Проверка на практике показала, что искусственный интеллект на 17% лучше ставит диагнозы пациентам, чем это делали профессиональные рентгенологи. Профессия сейчас переживает во всем мире нехватку кадров, поэтому технология может решить эту проблему и помочь улучшить работу многим медицинским учреждениям.
Это не впервые ИИ используют для чтения рентгеновских снимков. Но австралийская программа дает возможность научить искусственный интеллект полноценно использовать анамнез пациентов, а не только пленку.
Проект возглавил доктор Аарон Николсон. Комментируя сочетание анамнеза и снимков, он отметил:
"Искусственный интеллект функционирует как диагностический детектив, а мы оснащаем его дополнительными доказательствами. Когда вы сочетаете то, что видно на рентгеновском снимке, с данными о пациенте, искусственный интеллект становится более точным и гораздо более полезным.
Скорость и точность диагностики — это одно из важнейших преимуществ ИИ для практической медицины. Врачам помогает также способность искусственного интеллекта быстро обрабатывать большие массивы данных. Кроме рентгенов, большие языковые модели используются для чтения МРТ. Машинный анализ позволяет исключить человеческий фактор, поэтому на результат не влияет усталость или озабоченность медика. Таким образом в диагностические отчеты попадают детали, которые мог бы пропустить человек-врач. Больше о потенциале и угрозах использования ИИ в лечении читайте в статье "Искусственный интеллект в медицине: чего больше — рисков или пользы?" авторства Сергея Козьякова.
